2024/06/10
ガムピーリングで本来の歯茎の色に!
こんにちは。かめだ歯科クリニックです。

今日はガムピーリングについてご紹介したいと思います。
ガムピーリングとは、
本来持っている歯茎の色を綺麗なピンク色にする治療方法で、
「歯肉のホワイトニング」とも呼ばれています。
歯茎にピーリングを行うことで、黒ずんでしまった歯茎を本来の綺麗なピンク色へと変え、綺麗にしていきます。
肌の古い角質を取り除いて新しい皮膚を作る「ピーリング」という言葉を聞いたことがある人は多いのではないでしょうか?
ガムピーリングは、その歯茎バージョンです。
ガムピーリングは、フェノール剤を歯茎に塗布して上皮組織そのものを除去していきます。
手術直後はフェノール剤を塗布した部分が白くなりますが、その後はかさぶた状になります。
かさぶた状になってから1〜2週間ほど経つと、本来のきれいなピンク色の歯茎になります。

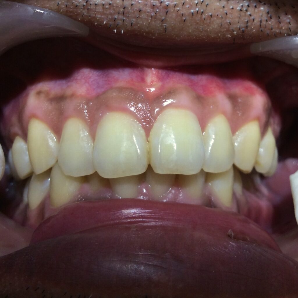
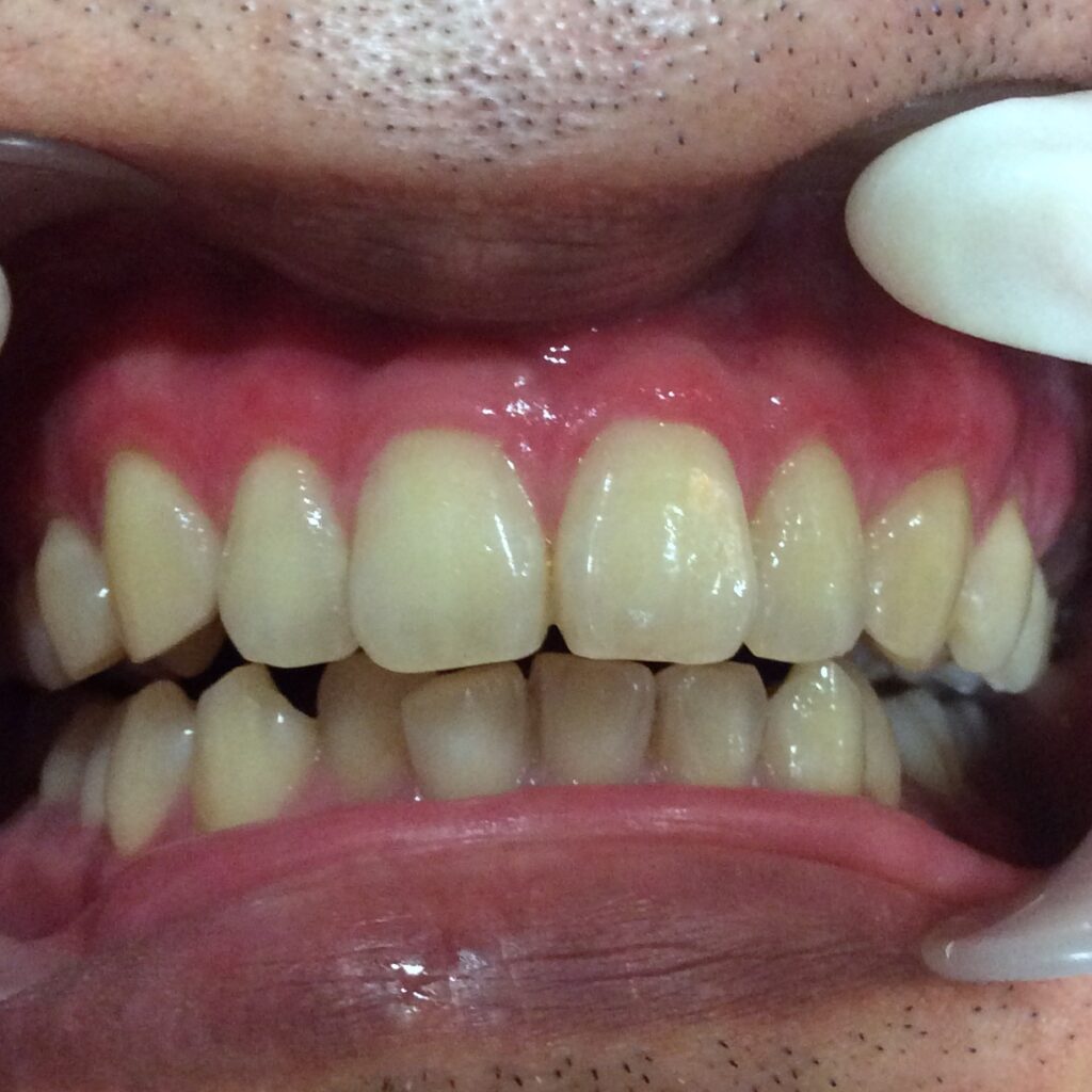
Before

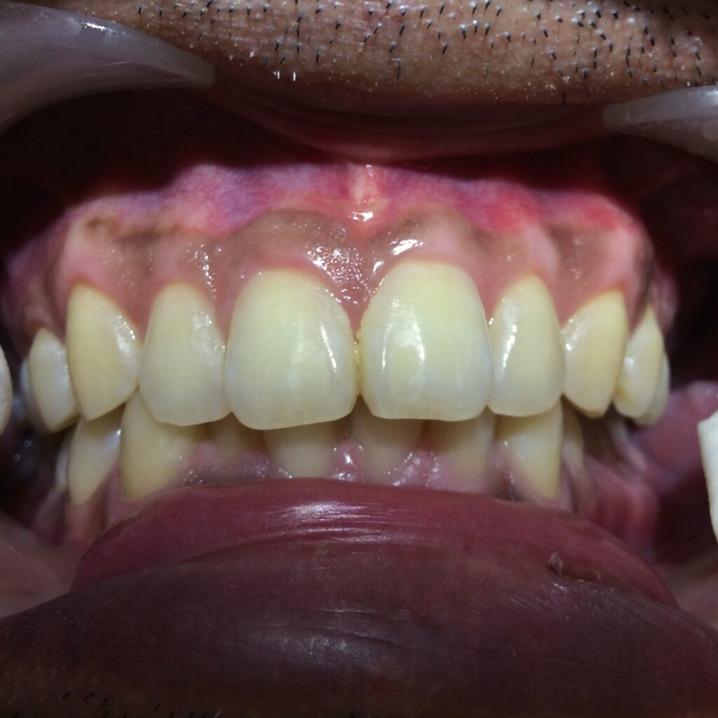
After
歯茎の黒ずみが気になる方はぜひガムピーリングをしてみませんか?
予約はこちらから♪